
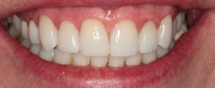
After

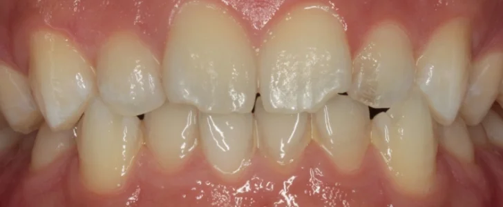
Before
composite bonding

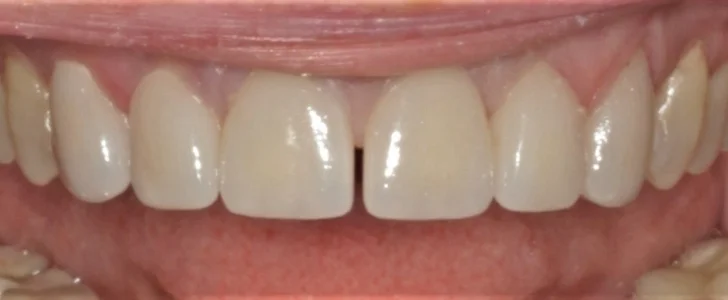
After

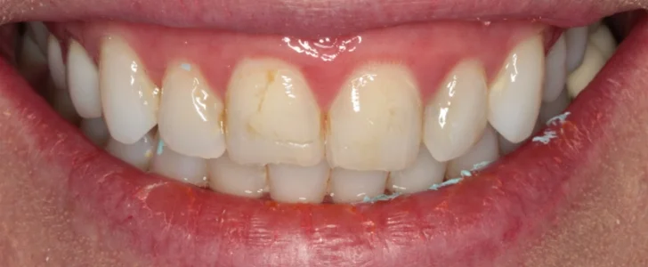
Before
porcelain crowns

After

Before
composite bonding

After

Before
emergency bonding

After

Before
implant bridge

After

Before
porcelain crowns

After

Before
full mouth rehab

After

Before
full upper arch crowns

After

Before
porcelain veneers

After

Before
upper porcelain crowns

After

Before
full upper arch rehab
